
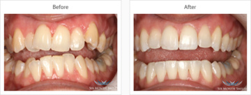
Six Month Smiles has taken the best aspects of braces and modified the treatment and the materials to give adults a common-sense, cosmetic solution that fits your lifestyle. Here is what makes 6 Month Smiles so innovative….
Here is what makes 6 Month Smiles so innovative…
- Average treatment times of only six months
- Six Month Smiles Lucid-Lok™ clear brackets and tooth-colored wires are barely visible
- Use of braces has shown to provide the most conservative and predictable final result
- Six Month Smiles Patient Tray Kits™ ensure that your appointments are fast and comfortable
- Low forces and short overall treatment times increase comfort, safety, and hygiene
- Six Month Smiles is typically less expensive than traditional braces, aligner therapy, or veneers